News
Zellgift schädigt Gehirn von EHEC-Patienten: Studie zu neurologischen Komplikationen durch Shiga-Toxin 2
Münster (mfm/tb) - Sommer 2011: Ganz Deutschland spricht über EHEC. Rund 4.000 Menschen infizieren sich mit dem Darmbakterium des aggressiven Typs O104:H4; etwa 850 davon entwickeln das hämolytisch-urämische Syndrom (HUS). Die befürchtete große Epidemie bleibt aus, aber EHEC kann jederzeit zurückkehren - weshalb sich Ärzte und Wissenschaftler weiterhin intensiv damit befassen. Forschern der Universität Münster gelang jetzt eine wichtige Entdeckung: Sie entschlüsselten, wie das von den EHEC-Bakterien produzierte Zellgift Shiga-Toxin 2 neurologische Komplikationen auslöst.
Auch am Universitätsklinikum Münster wurden 2011 EHEC-Patienten behandelt. Den behandelnden Ärzten fiel auf, dass insbesondere Frauen an schweren und charakteristischen neurologischen Symptomen wie Bewusstseins-, Konzentrations-, Gedächtnis- und Sprachstörungen litten. Aber die Betroffenen lagen auch wegen Nierenleiden in der Nephrologie, wurden von Kardiologen betreut, Radiologen fertigten MRT-Bilder an, Mikrobiologen untersuchten Proben. Experten verschiedener Fachrichtungen grübelten über die Ursache der Leiden.
Um Klarheit zu erhalten, bedurfte es eines interdisziplinären Forschungsprozesses. Diesen brachten der Physiologe Prof. Dr. Hans-Christian Pape, Prof. Dr. Heinz Wiendl, Direktor der Klinik für Neurologie – Entzündliche Erkrankungen des Nervensystems und Neuroonkologie sowie Prof. Dr. Dr. Sven Meuth auf den Weg: Sie führten Wissenschaftler aller beteiligten Fächer zu einer Arbeitsgruppe zusammen. Den Anstoß gaben Hinweise von Prof. Dr. Georg Peters, Direktor des Instituts für Medizinische Mikrobiologie, auf neurologische Befunde bei Patienten, die in Münster behandelt wurden.
„Ziel war es, Koryphäen wie Prof. Helge Karch vom Institut für Hygiene, der EHEC schon seit rund 30 Jahren erforscht, mit Klinikern und Vorklinikern zusammenzubringen. Diese sahen die Auswirkungen der Krankheit am einzelnen Patienten und konnten schon zu Beginn der Erkrankung geeignete Modellsysteme etablieren, um das Problem zu untersuchen“, erklärt Meuth, Leitender Oberarzt in der Wiendl-Klinik und Professor für Neuropathophysiologie.
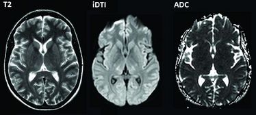
Meuth und seine Kollegen verglichen die MRT-Aufnahmen des Gehirns, die in der Radiologie angefertigt wurden, mit Messungen der Gehirnströme aus der Neurologie: Im Anschluss untersuchten Mitarbeiter des Instituts für Physiologie I sowie der Abteilung für entzündliche Erkrankungen des Nervensystems und Neuroonkologie das Virustoxin in verschiedenen experimentellen Modellen, unter anderem mithilfe von elektrophysiologischen und Zellgewebsanalysen. Allmählich vervollständigte sich das Bild.
Es zeigte sich, dass sieben Patientinnen neurologische Symptome und Gewebeschädigungen im Gehirn aufwiesen. „Das Zellsterben fand sich insbesondere in einem bestimmten Teil des Zwischenhirns, dem Thalamus. Und auch einige der krankhaften Veränderungen des Gehirns wurden offenbar dort ausgelöst.“ Der Ort der Krankheit war damit gefunden. Experimentelle Studien an Ratten lieferten dann den entscheidenden Hinweis darauf, was die gefährliche Schädigung verursacht: „Wir fanden im Thalamus weiblicher Ratten den Rezeptor für das EHEC-Gift Shiga-Toxin 2 in deutlich größerer Menge als in allen anderen Teilen des Gehirns. Zugleich tritt der Rezeptor stärker auf als im Thalamus männlicher Tiere“, erläutert Sven Meuth die zentrale Erkenntnis der Wissenschaftler.
Rezeptoren sind spezialisierte Zellen, die bestimmte chemische oder physikalische Reize in eine für das Nervensystem „verständliche“ Form bringen. Gibt es mehr „passende“ Rezeptoren für Shiga-Toxin 2, kann das Gift somit besser wirken – mit fatalen Folgen. Denn das Gift führt zu einer Zunahme des elektrischen Potenzials in der Zellaußenhaut und dazu, dass Nervenzellen große Mengen Kalzium anreichern. Beides löst den Zelltod aus.
Die Forschungsergebnisse zeigen also, dass Shiga-Toxin 2 die Zellen direkt schädigt. Ein Zusammenhang mit den krankhaften Veränderungen sowie neurologischen Komplikationen des hämolytisch-urämischen Syndroms ist wahrscheinlich. Zwar sei es von dieser Entdeckung bis zur Entwicklung wirksamer Medikamente gegen EHEC noch ein weiter Weg. „Doch wir haben bewiesen, wie viel die Wissenschaft erreichen kann, wenn alle Beteiligten an einem Strang ziehen und wenn Synergien genutzt werden, wie sie sich innerhalb der münsterschen Uni-Medizin anbieten“, sagt Sven Meuth nicht ohne Stolz. Ihre Erkenntnisse hat die Arbeitsgruppe in der Februarausgabe der Fachzeitschrift „Annals of Neurology“ veröffentlicht.
Link zu Studie
Auch am Universitätsklinikum Münster wurden 2011 EHEC-Patienten behandelt. Den behandelnden Ärzten fiel auf, dass insbesondere Frauen an schweren und charakteristischen neurologischen Symptomen wie Bewusstseins-, Konzentrations-, Gedächtnis- und Sprachstörungen litten. Aber die Betroffenen lagen auch wegen Nierenleiden in der Nephrologie, wurden von Kardiologen betreut, Radiologen fertigten MRT-Bilder an, Mikrobiologen untersuchten Proben. Experten verschiedener Fachrichtungen grübelten über die Ursache der Leiden.
Um Klarheit zu erhalten, bedurfte es eines interdisziplinären Forschungsprozesses. Diesen brachten der Physiologe Prof. Dr. Hans-Christian Pape, Prof. Dr. Heinz Wiendl, Direktor der Klinik für Neurologie – Entzündliche Erkrankungen des Nervensystems und Neuroonkologie sowie Prof. Dr. Dr. Sven Meuth auf den Weg: Sie führten Wissenschaftler aller beteiligten Fächer zu einer Arbeitsgruppe zusammen. Den Anstoß gaben Hinweise von Prof. Dr. Georg Peters, Direktor des Instituts für Medizinische Mikrobiologie, auf neurologische Befunde bei Patienten, die in Münster behandelt wurden.
„Ziel war es, Koryphäen wie Prof. Helge Karch vom Institut für Hygiene, der EHEC schon seit rund 30 Jahren erforscht, mit Klinikern und Vorklinikern zusammenzubringen. Diese sahen die Auswirkungen der Krankheit am einzelnen Patienten und konnten schon zu Beginn der Erkrankung geeignete Modellsysteme etablieren, um das Problem zu untersuchen“, erklärt Meuth, Leitender Oberarzt in der Wiendl-Klinik und Professor für Neuropathophysiologie.
Meuth und seine Kollegen verglichen die MRT-Aufnahmen des Gehirns, die in der Radiologie angefertigt wurden, mit Messungen der Gehirnströme aus der Neurologie: Im Anschluss untersuchten Mitarbeiter des Instituts für Physiologie I sowie der Abteilung für entzündliche Erkrankungen des Nervensystems und Neuroonkologie das Virustoxin in verschiedenen experimentellen Modellen, unter anderem mithilfe von elektrophysiologischen und Zellgewebsanalysen. Allmählich vervollständigte sich das Bild.
Es zeigte sich, dass sieben Patientinnen neurologische Symptome und Gewebeschädigungen im Gehirn aufwiesen. „Das Zellsterben fand sich insbesondere in einem bestimmten Teil des Zwischenhirns, dem Thalamus. Und auch einige der krankhaften Veränderungen des Gehirns wurden offenbar dort ausgelöst.“ Der Ort der Krankheit war damit gefunden. Experimentelle Studien an Ratten lieferten dann den entscheidenden Hinweis darauf, was die gefährliche Schädigung verursacht: „Wir fanden im Thalamus weiblicher Ratten den Rezeptor für das EHEC-Gift Shiga-Toxin 2 in deutlich größerer Menge als in allen anderen Teilen des Gehirns. Zugleich tritt der Rezeptor stärker auf als im Thalamus männlicher Tiere“, erläutert Sven Meuth die zentrale Erkenntnis der Wissenschaftler.
Rezeptoren sind spezialisierte Zellen, die bestimmte chemische oder physikalische Reize in eine für das Nervensystem „verständliche“ Form bringen. Gibt es mehr „passende“ Rezeptoren für Shiga-Toxin 2, kann das Gift somit besser wirken – mit fatalen Folgen. Denn das Gift führt zu einer Zunahme des elektrischen Potenzials in der Zellaußenhaut und dazu, dass Nervenzellen große Mengen Kalzium anreichern. Beides löst den Zelltod aus.
Die Forschungsergebnisse zeigen also, dass Shiga-Toxin 2 die Zellen direkt schädigt. Ein Zusammenhang mit den krankhaften Veränderungen sowie neurologischen Komplikationen des hämolytisch-urämischen Syndroms ist wahrscheinlich. Zwar sei es von dieser Entdeckung bis zur Entwicklung wirksamer Medikamente gegen EHEC noch ein weiter Weg. „Doch wir haben bewiesen, wie viel die Wissenschaft erreichen kann, wenn alle Beteiligten an einem Strang ziehen und wenn Synergien genutzt werden, wie sie sich innerhalb der münsterschen Uni-Medizin anbieten“, sagt Sven Meuth nicht ohne Stolz. Ihre Erkenntnisse hat die Arbeitsgruppe in der Februarausgabe der Fachzeitschrift „Annals of Neurology“ veröffentlicht.
Link zu Studie





